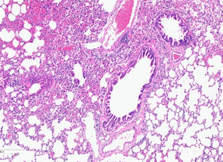
H&E staining :
Clear visualization of tissue structure
Cell distribution
Morphological changes within tissue samples
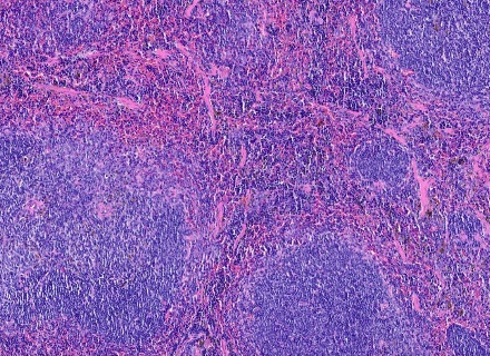
Clear visualization of tissue structure
Cell distribution
Morphological changes within tissue samples




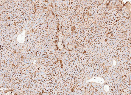
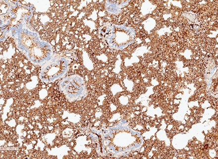
IHC Services from Our Laboratory is to detect and analyze proteins and nucleic acids across a variety of traditional and novel histopathology techniques.
With custom assay development capabilities, we can work with you to design an assay to their requirements, procure stains or antibodies, and transfer protocols.