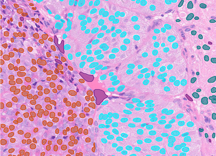
• AI can identify 262 basic tissue structures across 47 organ types.
• A total of 595 quantitative indicators can be computed for detailed analysis.
• AI can recognize 247 basic tissue structures across 48 organ types.
• A total of 567 quantitative indicators are available for analysis.
This structured R&D supports the diagnosis of over 100 common diseases per species, showcasing its broad applicability. (Note: Data anonymization or fuzzy processing may be applied to ensure privacy and security.)








